Your partner for astronomy
Microscopy > Microscopes > Inverted microscopes > Evident Olympus > CKX53 > Evident Olympus CKX53 trinocular microscope, 100X, 200X, 400X, IPC / IVC x/y stage
Product no.: 49704

CKX53 trinocular microscope, 100X, 200X, 400X, IPC / IVC x/y stage

$ 10,700.00 incl. VAT plus shipping costs
too expensive?
short-term
ready for shipping in 3-5 weeks + lead time

No delivery possible before christmas
Check alternatives on stock or order a voucher!


Product description

More about the series CKX53...

Olympus CKX53 IPC/IVC (E07MIS0043)

Manual inverted microscope stand with 22x field of view and integrated 45° trinocular tube

  • 4-position objective turret
  • Large stage (200 mm x 252 mm)
  • Table extension plate
  • Removable/rotatable condenser
  • Long working distance (NA 0.3, WD 72 mm, manual aperture diaphragm), max. WD 194 mm (condenser removed)
  • Coaxial coarse and fine drive
  • LED lamp housing (20,000 hours service life)
  • Transparent acrylic table insert plate
  • x,y-object guide with universal sample holder for Petri dishes, slides, Terasaki plates (X: ~96 mm, Y: ~57 mm) and small cell culture bottles (X: ~150.7 mm (with cap) Y: ~88.6 mm)
  • Phase contrast slider (CKX3-SLP)
  • Ring aperture for inversion contrast (IVC)
  • Compatible with CACHN10xIPC/0.25 lenses

Highlights:

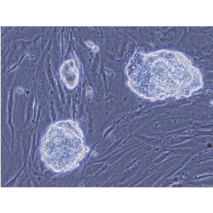
Integrated phase contrast (IPC)

Fast and efficient cell observation with the integrated phase contrast system (iPC).

The high contrast of the CKX53's iPC system provides a clear view of cells at 4x, 10x, 20x and 40x without the user having to replace or re-centre the ring gap. The new phase contrast system enables simple and efficient cell observation for a faster and more comfortable workflow.

Inverted contrast (IVC)

Experience 3D views with the inversion contrast technique (IVC).

With this newly developed IVC technique, the depth of field is shallower than with phase contrast, enabling clear three-dimensional images of objects of any shape or transparency. In addition, IVC observation provides clear views without halos or directional shadows, maintaining the integrity of object details during observation. 10X lenses (PLCN10X, CACHN10XIPC) are used for this new IVC observation.

Included components:

  1. Microscope stand CKX53SF-1-3 (N5731900)
  2. Achromatic phase contrast objective 10x CACHN10xIPC-1-7 (N5739800)
  3. Achromatic phase contrast objective lens 20x LCACHN20xIPC (N5229300)
  4. Achromatic phase contrast objective 40x LCACHN40xIPC (N5229400)
  5. Manual condenser insert CKX3-SLP (N5228500)
  6. Ring aperture for IVC CKX3-SLPIC (N5228600)
  7. x/y object guide CKX3-MVR (N5228300)
  8. Sample holder for Petri dishes CKX3-HOU (N5229000)
  9. Table extension plate CK2-SS (N030362)
  10. Power cables UYCP (035425)
  11. Dust cover for CKX53/41/31 (N1153000)

Specifications

Optics


Image scale
10x 20x, 40x
Number of objectives
3
Lighting
Transmitted light
Field curvature
Plan
Colour correction
apochromatic
Condensor
rotatable
Lamp type
LED (4 W)
Objective 1
CACHN10xIPC
Objective 2
LCACHN20xIPC
Objective 3
LCACHN40xIPC
infinity corrected
yes
Magnification
100x, 200x, 400x

Capacity


Lamp type
LED
Temperature of color (K)
4000
DIC, IVC, RC
yes
Phase contrast
yes (IPC- (integrated phase contrast) objectives)
brightfield
yes
Contrast methods
DIC

Mechanics


Type of build
Trinocular
Viewing posture (°)
45° angled eyepiece
Focusing
Coarse and fine movement
Specimen stage
Cross table (252 x 200 mm (180 x 70 mm))
Revolver
4

Special features


Luminous field diaphragm
yes
Wide-angle eyepiece
yes (10X/22 mm wide field)

General


Width (mm)
200
Length (mm)
498
Height (mm)
454
Series
CKX53
Weight (g)
6,9

Field of application


Medicine
yes
Biology
yes
Education
yes

Area of application


Biochemistry
yes
University
yes

Miscellaneous


supplier product number
E0460043 (E07MIS0043)

Product safety

Manufacturer: Evident Europe GmbH, Caffamacherreihe 8–10, 20355 Hamburg, DE, https://www.evidentscientific.com/

Recommended accessories

Microscopy > Microscopy accessories (19)

Evident Olympus PLN2X/0.06 Plan Achromatic Objective

$ 1,120.00*
Microscopy > Other (1)

Bresser Immersion oil, 5ml, refractive index=1.515

$ 18.90*
Baseprice: $ 3,780.00/L
Maintenance & Cleaning > Lens cleaners (4)

Zoomion cleaning system

$ 1.90*
Maintenance & Cleaning > Other (2)

Omegon microfibre cleaning cloth 20cm x 20cm

$ 6.90*

*All prices include VAT plus shipping costs.

Evident Olympus CKX53 trinocular microscope, 100X, 200X, 400X, IPC / IVC x/y stage
Fast and Efficient Cell Observation with the integrated Phase Contrast (IPC) System
Evident Olympus CKX53 trinocular microscope, 100X, 200X, 400X, IPC / IVC x/y stage
Inversion Contrast (IVC)
Evident Olympus CKX53 trinocular microscope, 100X, 200X, 400X, IPC / IVC x/y stage
PH: Reference: Y. Suzuki et al., Method for observing phase objects without halos or directional shadows.
Evident Olympus CKX53 trinocular microscope, 100X, 200X, 400X, IPC / IVC x/y stage
Easy handling of any type of cell culture containers

Customer reviews

There are no customer reviews for this product yet.

Compose your own review

Do you have specific questions about your order or products? Please contact our customer service!